BONDING ΔΟΝΤΙΩΝ
χωρίς αναισθησία και χωρίς τροχό!
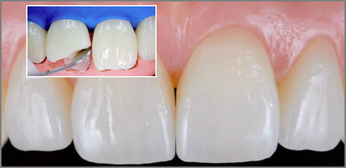
To bonding είναι μια τεχνική με την οποία μπορούμε να επέμβουμε στο σχήμα και στο χρώμα των δοντιών, μεταμορφώνοντας θεαματικά το χαμόγελο, ακόμα και μέσα σε μία συνεδρία.
Πρόκειται για μια τεχνική με πολλά πλεονεκτήματα:
- είναι εντελώς ανώδυνη και εφαρμόζεται χωρίς τοπική αναισθησία
- δεν απαιτεί αφαίρεση οδοντικής ουσίας, δηλ. δεν τροχίζονται τα δόντια
- πραγματοποιείται σε σύντομο χρόνο, μία το πολύ δύο συνεδρίες
- δίνει άριστα αισθητικά αποτελέσματα
- είναι ο οικονομικότερος τρόπος αισθητικής αποκατάστασης

μεταμόρφωση στο χαμόγελο νεαρού άντρα μετά από περιοδοντική θεραπεία και bonding,
χωρίς να αλλοιωθεί η φυσιογνωμία του
H τεχνική του bonding ενδείκνυται σε περιπτώσεις δυσχρωμικών, σπασμένων, στραβών ή κοντών δοντιών, δίνοντας εξαιρετικά αποτελέσματα. Aποτελεί ιδανική λύση για την αποκατάσταση των οδοντικών τραυμάτων, στα νεογιλά ή μόνιμα δόντια των παιδιών, καθώς και των ορθοδοντικών ανωμαλιών, σε όσους απορρίπτουν την ορθοδοντική θεραπεία.
Το υλικό που χρησιμοποιούμε κατά τη διαδικασία είναι οι σύνθετες ρητίνες, σε χρωματισμό που να εναρμονίζεται απόλυτα με το χρώμα των υπόλοιπων δοντιών, επιτυγχάνοντας ένα θεαματικό αποτέλεσμα. Το αποτέλεσμα μπορεί να διαρκέσει για πολύ καιρό αν ακολουθηθούν οι συμβουλές που δίνουμε στους ασθενείς μας.
Επικοινωνήστε με το οδοντιατρείο VSmile Πειραιά και βελτιώστε γρήγορα και ανώδυνα το χαμόγελό σας με την τεχνική του bonding.
ΕΝΗΜΕΡΩΣΟΥ ΜΕ ΛΕΠΤΟΜΕΡΕΙΕΣ ΓΙΑ ΤΟ BONDING ΑΝΟΙΓΟΝΤΑΣ ΤΑ ΚΟΥΤΑΚΙΑ:
Επικοινωνήστε με το οδοντιατρείο VSmile και
ΘΑ ΦΡΟΝΤΙΣΟΥΜΕ ΤΟ ΧΑΜΟΓΕΛΟ ΣΑΣ!

Stamataki Vassiliki, DDS / dental clinic / vsmile / Greece


