ΕΝΔΕΙΞΕΙΣ bonding δοντιών
Το bonding δοντιών έχει εξαιρετικά αποτελέσματα στις ακόλουθες περιπτώσεις:
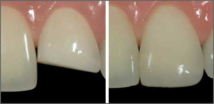
- για την αποκατάσταση σπασμένων δοντιών ή φθαρμένων παλιών εμφράξεων
- για την αποκατάσταση δυσχρωμιών ή κηλίδων
- για την επιμήκυνση δοντιών που είναι μικρά και κοντά σε σχέση με τα χείλη, το πρόσωπο ή τα παρακείμενα δόντια
- για την συμπλήρωση κενών διαστημάτων ανάμεσα στα δόντια σε περιπτώσεις αραιοδοντίας
- για την βελτίωση της εμφάνισης δοντιών με έντονες στροφές ή κλίσεις προς το εσωτερικό του στόματος
- για την προστασία του αυχενικού τμήματος του δοντιού όταν τα ούλα έχουν υποχωρήσει
- για όσους έχουν ανάγκη ορθοδοντικής θεραπείας, αλλά δεν θέλουν να την ακολουθήσουν

Το bonding δεν ενδείκνυται:
- σε άτομα που σφίγγουν ή τρίζουν τα δόντια τους (δηλ. σε άτομα με βρυγμό)
- σε άτομα που δαγκώνουν τα νύχια τους ή συγκρατούν με τα δόντια τους αντικείμενα π.χ, γυαλιά, μολύβια
Επικοινωνήστε με την οδοντίατρο του VSmile Πειραιά και ενημερωθείτε με λεπτομέρειες για την τεχνική του bonding.
ΕΝΗΜΕΡΩΣΟΥ ΜΕ ΛΕΠΤΟΜΕΡΕΙΕΣ ΓΙΑ ΤΟ BONDING ΑΝΟΙΓΟΝΤΑΣ ΤΑ ΚΟΥΤΑΚΙΑ:
Επικοινωνήστε με το οδοντιατρείο VSmile και
ΘΑ ΦΡΟΝΤΙΣΟΥΜΕ ΤΟ ΧΑΜΟΓΕΛΟ ΣΑΣ!


