ΑΜΕΣΕΣ ΟΨΕΙΣ ΡΗΤΙΝΗΣ: Edelweiss Direct Veneers
ανανέωση χαμόγελου σε μία συνεδρία!
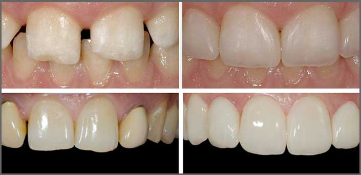
TI EINAI OI AΜΕΣΕΣ ΟΨΕΙΣ EDELWEISS?
Oι άμεσες όψεις είναι λεπτές φλύδες υαλοποιημένης ρητίνης, που συγκολλούνται στην πρόσθια επιφάνεια των δοντιών, προκειμένου να διορθωθούν ατέλειες που αφορούν το χρώμα, το σχήμα ή τη θέση τους.
H κατασκευή των Εdelweiss direct veneers που χρησιμοποιούμε στο οδοντιατρείο VSmile Πειραιά, γίνεται στην Ελβετία και αποτελεί μια παγκόσμια καινοτομία, αφού επιτρέπει στον οδοντίατρο να παρέχει μέσα σε μία μόνο συνεδρία άμεσο αισθητικό αποτέλεσμα που είναι εφάμιλλο των όψεων πορσελάνης. Οι όψεις κατασκευάζονται από νανοϋβριδική σύνθετη ρητίνη, που έχει υποστεί επεξεργασία με lazer και έχει υαλοποιηθεί.
ΣΕ ΠΟΙΕΣ ΠΕΡΙΠΤΩΣΕΙΣ ΕΝΔΥΚΝΕΙΝΤΑΙ?
Oι άμεσες όψεις δίνουν εξαιρετικό αισθητικό και λειτουργικό αποτέλεσμα στις παρακάτω περιπτώσεις:
- στην αποκατάσταση σπασμένων δοντιών ή φθαρμένων παλιών εμφράξεων
- στην αποκατάσταση δυσχρωμιών ή κηλίδων
- στην επιμήκυνση δοντιών που είναι μικρά και κοντά σε σχέση με τα χείλη, το πρόσωπο ή τα παρακείμενα δόντια
- στην συμπλήρωση κενών διαστημάτων ανάμεσα στα δόντια σε περιπτώσεις αραιοδοντίας
- στην βελτίωση της εμφάνισης δοντιών με έντονες στροφές ή κλίσεις προς το εσωτερικό του στόματος
- στην προστασία του αυχενικού τμήματος του δοντιού, όταν τα ούλα έχουν υποχωρήσει
- σε όσους έχουν ανάγκη ορθοδοντικής θεραπείας, αλλά δεν θέλουν να την ακολουθήσουν

ΤΙ ΠΛΕΟΝΕΚΤΗΜΑΤΑ ΠΑΡΟΥΣΙΑΖΕΙ Η ΤΕΧΝΙΚΗ EDELWEISS?
Πρόκειται για μια τεχνική με πολλά πλεονεκτήματα:
- είναι ελάχιστα επεμβατική μέθοδος, αφού τα δόντια τροχίζονται λίγο και σε αρκετές περιπτώσεις καθόλου
- τις περισσότερες φορές δεν απαιτεί τοπική αναισθησία
- πραγματοποιείται μέσα σε μία μόνο συνεδρία
- δίνει καλύτερο και μακροβιότερο αισθητικό αποτέλεσμα σε σχέση με το bonding
- είναι οικονομικότερος τρόπος αισθητικής αποκατάστασης, σε σχέση με τις όψεις πορσελάνης
Επικοινωνήστε με το οδοντιατρείο VSmile και ενημερωθείτε με λεπτομέρειες για τις άμεσες όψεις Εdelweiss!
ΕΝΗΜΕΡΩΣΟΥ ΓΙΑ ΣΥΓΧΡΟΝΕΣ ΟΔΟΝΤΙΑΤΡΙΚΕΣ ΤΕΧΝΙΚΕΣ, ΑΝΟΙΓΟΝΤΑΣ ΤΑ ΚΟΥΤΑΚΙΑ:
Επικοινωνήστε με το οδοντιατρείο VSmile και
ΘΑ ΦΡΟΝΤΙΣΟΥΜΕ ΤΟ ΧΑΜΟΓΕΛΟ ΣΑΣ!





