ΘΕΡΑΠΕΙΑ ΠΕΡΙΟΔΟΝΤΙΤΙΔΑΣ
η επιτυχία της θεραπείας, είναι και δική σας υπόθεση!
ΤΙ ΕΙΝΑΙ Η ΠΕΡΙΟΔΟΝΤΙΤΙΔΑ?
Η μη έγκαιρη θεραπεία μιας ουλίτιδας, ενδέχεται να οδηγήσει στην εμφάνιση περιοδοντίτιδας.
Περιοδοντίτιδα είναι η εξάπλωση των μικροβιακής φλεγμονής κάτω από τα ούλα, που σταδιακά οδηγεί στην καταστροφή των στηρικτικών ιστών που συγκρατούν τα δόντια. Αποτέλεσμα αυτής της φλεγμονής είναι τα δόντια να χάνουν τη στήριξή τους, να αποκτούν κινητικότητα και πολλές φορές να καταλήγουν σε εξαγωγή. Η περιοδοντίτιδα αποτελεί την κύρια αιτία απώλειας δοντιών στους ενήλικες!
Η περιοδοντίτιδα εγκαθίσταται αθόρυβα και χαρακτηρίζεται από μακροχρόνια διαδρομή και απρόβλεπτη ταχύτητα. Τα συμπτώματα και η έντασή τους ποικίλλουν από ασθενή σε ασθενή, χωρίς μάλιστα να συμβαδίζουν πάντα με την σοβαρότητα της νόσου.

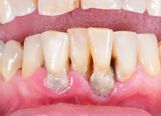
κλινική εικόνα περιοδοντίτιδας
Οι περισσότεροι από αυτούς που νοσούν, δεν το γνωρίζουv! Ειδικά οι καπνιστές δεν το αντιλαμβάνονται έγκαιρα, μιας και σε αυτούς απουσιάζει ως σύμπτωμα η αιμορραγία, που είναι ένα σημαντικό κλινικό εύρημα της περιοδοντίτιδας.
ΠΩΣ ΓΙΝΕΤΑΙ Η ΘΕΡΑΠΕΙΑ ΤΗΣ ΠΕΡΙΟΔΟΝΤΙΤΙΔΑΣ?
Η θεραπεία της περιοδοντίτιδας μπορεί να είναι συντηρητική, χειρουργική, ή συνδυασμός και των δύο:

ΣΥΝΤΗΡΗΤΙΚΗ ΘΕΡΑΠΕΙΑ στο οδοντιατρείο VSmile:
- εφαρμόζεται σε αρχικά στάδια της νόσου ή ως προεργασία πριν την χειρουργική μέθοδο
- στοχεύει στον καθαρισμό της πλάκας και της πέτρας πάνω και κάτω από τα επίπεδα των ούλων
- γίνεται ανώδυνα με τοπική αναισθησία χωρίς να υπάρχει πόνος ή οίδημα μετά την παρέλευσή της
- εφαρμόζεται σε όλες τις περιοχές του στόματος που υπάρχουν φυσικά δόντια και για την ολοκλήρωσή της απαιτούνται συνήθως 4-6 επισκέψεις

ΧΕΙΡΟΥΡΓΙΚΗ ΘΕΡΑΠΕΙΑ στο οδοντιατρείο VSmile:
- εφαρμόζεται στις πιο βεβαρυμένες μορφές,συνήθως ακολουθεί την συντηρητική θεραπεία και έχει έχει καλύτερα αποτελέσματα στον έλεγχο της νόσου, σε βάθος χρόνου
- στοχεύει στον βαθύτερο καθαρισμό των ριζών από την πέτρα, την διευθέτηση των ιστών και πιθανώς την τοποθέτηση υλικών ανάπλασης (π.χ. μοσχεύματα)
- ο αριθμός των περιοχών που θα επέμβουμε εξαρτάται από τη βαρύτητα της νόσου
- εφαρμόζεται σύστημα υπερήχων υψηλής πιεζοηλεκτρικής τεχνολογίας που προσφέρει απόλυτη ακρίβεια στη θεραπεία, χωρίς να τραυματίζει τα ούλα και μικροχειρουργικές τεχνικές που είναι ελάχιστα επεμβατικές και πλήρως αποδεκτές από τους ασθενείς (για ιδιαιτέρως βεβαρυμένα περιστατικά συνεργαζόμαστε με ειδικό περιοδοντολόγο )
- γίνεται ανώδυνα με τοπική αναισθησία - οι μικρές ενοχλήσεις που ενδέχεται να εμφανιστούν μετά την παρέλευσή της ελέγχονται με αντιφλεγμονώδη φάρμακα και το πιθανό οίδημα με τοποθέτηση ψυχρών επιθεμάτων (π.χ. πάγο)
- τα ράμματα που τοποθετούνται αφαιρούνται μετά από μία εβδομάδα
- αντιβίωση χορηγείται μόνο εάν κριθεί σκόπιμο
ΑΠΟ ΤΙ ΕΞΑΡΤΑΤΑΙ Η ΕΠΙΤΥΧΙΑ ΜΙΑΣ ΠΕΡΙΟΔΟΝΤΙΚΗΣ ΘΕΡΑΠΕΙΑΣ?
Η οδοντίατρος του VSmile Πειραιά επισημαίνει στους περιοδοντικούς ασθενείς, ότι η επιτυχία της θεραπείας μιας περιοδοντίτιδας δεν εξαρτάται μόνο από τη βαρύτητα και τις ιδιαιτερότητες του περιστατικού. Μια περιοδοντική θεραπεία μπορεί να αυξήσει τη βιωσιμότητα και την διατήρηση των φυσικών δοντιών στη στοματική κοιλότητα, με την προϋπόθεση ότι ο ασθενής τηρεί άριστη στοματική υγιεινή και προσέρχεται στο ιατρείο για επανέλεγχο ανά τακτά χρονικά διαστήματα. Για το λόγο αυτό στο οδοντιατρείο VSmile:
- διαμορφώνουμε ατομικό πρόγραμμα στοματικής υγιεινής για τον κάθε ασθενή,που καθορίζεται από την ηλικία, τις ανάγκες και τις ιδιαιτερότητές του
- ακολουθούμε σύστημα διατήρησης του αποτελέσματος με επανάκληση του ασθενή ανά 3-6 μήνες,ανάλογα με την περίπτωση, για επαναξέταση, καθαρισμό και περαιτέρω οδηγίες
SOS: Η καλύτερη αντιμετώπιση της περιοδοντικής νόσου είναι η πρόληψη!
ΕΝΗΜΕΡΩΣΟΥ ΑΝΟΙΓΟΝΤΑΣ ΤΑ ΚΟΥΤΑΚΙΑ
Επικοινωνήστε με το οδοντιατρείο VSmile και
ΘΑ ΦΡΟΝΤΙΣΟΥΜΕ ΤΟ ΧΑΜΟΓΕΛΟ ΣΑΣ!


