ενδοστοματικό συρίγγιο
----------------------------------
ομαλός λειχήνας παρειάς
----------------------------------
πτυχωτή γλώσσα
----------------------------------
φλεβική λίμνη
----------------------------------
υπεράριθμος προγόμφιος
----------------------------------
εξόστωση παρειακού πετάλου
----------------------------------
τραυματικό ίνωμα
----------------------------------
βραχύς χαλινός
----------------------------------
περιοδοντικό απόστημα
----------------------------------
στοματίτιδα από οδοντοστοιχία
----------------------------------
ραγάδες χειλέων από ξηροστομία
----------------------------------
δήξη παρειάς
----------------------------------
διπλός κάτω χαλινός
----------------------------------
υφίζηση από σκουλαρίκι
----------------------------------
αυξημένη κατακόρυφη και ετερόπλευρη σταυροειδής σύγκλειση
----------------------------------
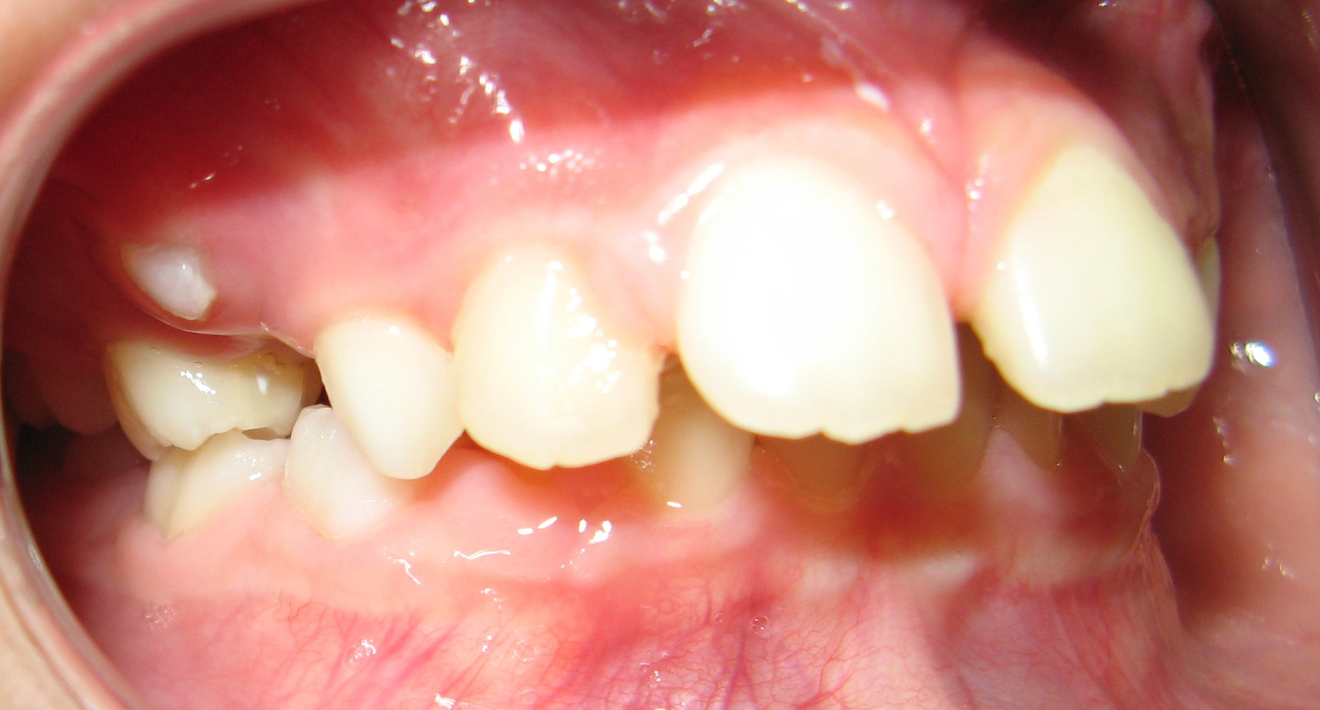
πολυτερηδονισμός και περιοδοντίτιδα
----------------------------------
ομαλός λειχήνας γλώσσας
----------------------------------
χρωστικές και υφίζηση ούλων
----------------------------------
νεογιλός πλάγιος σε ενήλικα
----------------------------------
αυξημένη οριζόντια πρόταξη
----------------------------------
μελάγχρωση των ούλων
----------------------------------
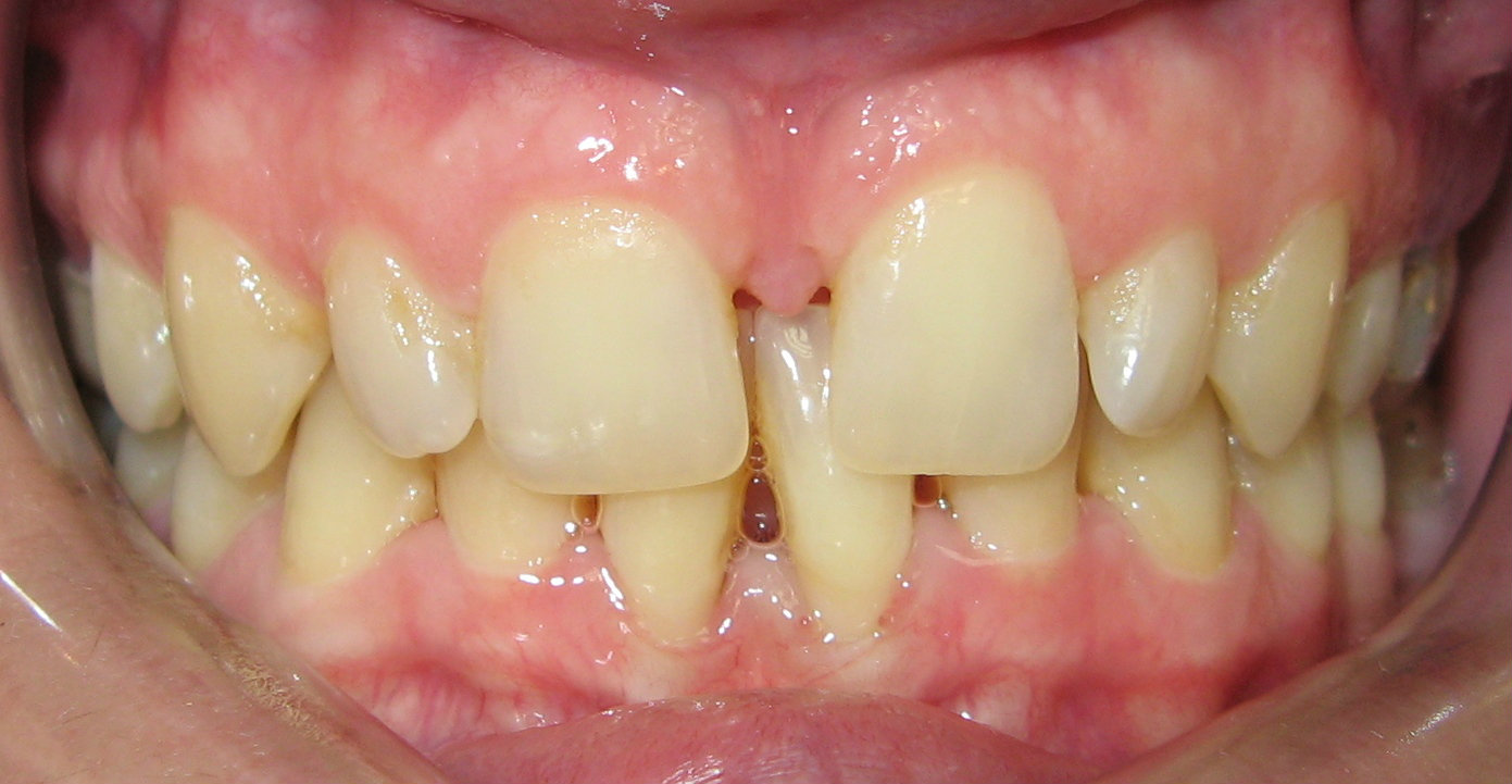
αραιοδοντία
----------------------------------
κάταγμα από χτύπημα
----------------------------------
τραυματισμός δοντιών χειλέων
----------------------------------
ομαλός λειχήνας ούλων
----------------------------------
έγκαυμα υπερώας
----------------------------------
αποδρομή μυκητίασης γλώσσας
----------------------------------
ουλίτιδα
----------------------------------
σκουλαρίκι γλώσσας
----------------------------------
επιχείλιος έρπης
----------------------------------
πέτρα και περιοδοντίτιδα
----------------------------------
μεσοριζικό συρίγγιο από κάταγμα
----------------------------------
νικοτινική υπερώα
----------------------------------
αιμάτωμα παρειάς
----------------------------------
στενή υπερώα
----------------------------------
πρόσθια σταυροειδής σύγκλιση
----------------------------------

