ΠΑΙΔΟΔΟΝΤΙΑ / ΔΙΑΓΝΩΣΗ ΣΕ ΠΑΙΔΙΑ ΚΑΙ ΕΦΗΒΟΥΣ:
ΛΗΨΗ ΙΣΤΟΡΙΚΟΥ
Η λήψη του ιστορικού με τη βοήθεια των γονέων μπορεί εκτός από τις πληροφορίες για τη γενική υγεία του παιδιού, να μας αποκαλύψει πληροφορίες για πιθανές βλαβερές συνήθειες που ίσως έχει το παιδί και οι οποίες σχετίζονται άμεσα με την στοματική του κατάσταση (π.χ. πιπίλισμα δαχτύλου, διατροφικές συνήθειες κ.α. )
Kατά τη συμπλήρωση του ιστορικού των εφήβων οι ερωτήσεις έχουν ευρύτερο φάσμα, καθώς οι ταχύτατες σωματικές, ψυχολογικές και συναισθηματικές αλλαγές που τους συμβαίνουν, μπορούν πολλές φορές να εκδηλωθούν με τη μορφή νοσημάτων του στόματος. Πολλές ερωτήσεις γίνονται στα ίδια τα παιδιά, αφού η εφηβεία αποτελεί ένα κρίσιμο χρονικό διάστημα, κατά το οποίο πολλά από αυτά αποκτούν επικίνδυνες για τη στοματική τους υγεία συμπεριφορές, όπως το κάπνισμα, το αλκοόλ, οι επιβλαβείς διατροφικές συνήθειες και η μη ασφαλής σεξουαλική δραστηριότητα.
Στους εφήβους γίνεται ειδική ψυχολογική προσέγγιση και οι ερωτήσεις που αφορούν αυτά τα θέματα, γίνονται κατά κανόνα χωρίς την παρουσία των γονέων, ώστε να μας ανοιχτούν ευκολότερα και να μας δώσουν ειλικρινείς απαντήσεις.
Όλες οι πληροφορίες που λαμβάνουμε με το ιστορικό καταγράφονται και συνεκτιμώνται με τα ευρήματα της κλινικής εξέτασης.

υφίζηση (υποχώρηση των ούλων) από σκουλαρίκι σε έφηβο
ΚΛΙΝΙΚΗ ΕΞΕΤΑΣΗ:
Με την κλινική εξέταση αποκαλύπτονται οι ανάγκες του παιδιού:
- σε προληπτικό επίπεδο:
φθορίωση / κάλυψη οπών και σχισμών / βελτίωση στοματικής υγιεινήs / αντιμετώπιση αρχόμενης τερηδόνας / αλλαγή διατροφικών συνηθειών / ανάγκη κατασκευής αθλητικού νάρθηκα / ορθοδοντικά μηχανήματα διατήρησης χώρου
- σε θεραπευτικό επίπεδο:
θεραπεία τερηδόνας / θεραπεία ουλίτιδας / ορθοδοντική θεραπεία / αντιμετώπιση τραύματος

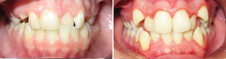
διάγνωση περιοδοντικών και ορθοδοντικών προβλημάτων σε παιδιά
ΑΚΤΙΝΟΓΡΑΦΙΚΟΣ ΕΛΕΓΧΟΣ:
Πολλλές φορές κρίνεται απαραίτητος και ο ακτινογραφικός έλεγχος για να ολοκληρωθεί η διάγνωση.
Στο οδοντιατρείο VSmile Πειραιά, η οδοντίατρος χρησιμοποιεί μηχάνημα ψηφιακής ενδοστοματικής ακτινογραφίας υψηλής ευκρίνειας, ώστε το παιδί σε περίπτωση που χρειαστεί, να λάβει ελάχιστη δόση ακτινοβολίας.
Μετά την ολοκλήρωση της διαγνωστικής εξέτασης, καταγράφονται όλες οι ανάγκες του παιδιού, ενημερώνονται οι γονείς και προγραμματίζονται συνεδρίες προληπτικής αγωγής ή θεραπείας.
ΜΑΘΕΤΕ ΠΕΡΙΣΣΟΤΕΡΑ ΓΙΑ ΤΑ ΠΑΙΔΙΑ ΑΝΟΙΓΟΝΤΑΣ ΤΑ ΚΟΥΤΑΚΙΑ
Επικοινωνήστε με το οδοντιατρείο VSmile και
ΘΑ ΦΡΟΝΤΙΣΟΥΜΕ ΤΟ ΧΑΜΟΓΕΛΟ ΣΑΣ!













