ΠΟΙΕΣ ΑΝΩΜΑΛΙΕΣ ΘΕΡΑΠΕΥΕΙ Η ΟΡΘΟΔΟΝΤΙΚΗ
Μετά τον απαραίτητο διαγνωστικό έλεγχο, η οδοντίατρος και ο ορθοδοντικός του VSmile Πειραιά, αναγνωρίζουν ποιος έχει ανάγκη ορθοδοντικής και καθορίζουν το σχέδιο θεραπείας για την διόρθωση της εκάστοτε ανωμαλίας.
Η ορθοδοντική γενικά θεραπεύει επίκτητες και κληρονομικές ανωμαλίες.
Eπίκτητες καλούμε αυτές που δεν υπήρχαν κατά τη γέννηση, αλλά δημιουργήθηκαν κατά την ανάπτυξη των δοντιών και των γνάθων και αφορούν:
- στοματικές συνήθειες όπως ο θηλασμός, η συνεχής τοποθέτηση του δαχτύλου στο στόμα κ.α.
- παρεμπόδιση της αναπνοής από υπερτροφικές αμυγδαλές, κρεατάκια κ.λ.π.
- πρόωρη απώλεια των νεογιλών δοντιών από τερηδόνα, τραυματισμό κ.λ.π.
Κληρονομικές καλούμε αυτές που υπάρχουν από τη γέννηση, προέρχονται από γενετική προδιάθεση και αφορούν:
- διάφορες σχιστίες, δυσμορφίες ή ασυμμετρίες του προσώπου ή των γνάθων
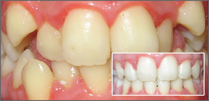
- αραιά, στραβά, πεταχτά ή υπεράριθμα δόντια
Επικοινωνήστε με το οδοντιατρείο VSmile και
ΘΑ ΦΡΟΝΤΙΣΟΥΜΕ ΤΟ ΧΑΜΟΓΕΛΟ ΣΑΣ!



